成像出色 – 自动生成质量出众的图像
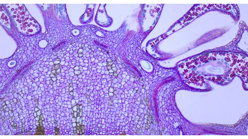
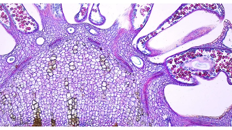
对于大多数集成了相机的医疗和生命科学应用而言,例如显微镜和眼科设备,成像质量都非常重要。您是否提供完整的系统,并希望在第一次曝光就能让用户获得出色的成像质量?MED ace相机的“MED功能包 - MED ace成像出色”正好能满足您的要求:它结合了Basler PGI算法和自动功能,能够出色再现色彩和对比度,并快速响应不断变化的光线条件。
成像出色功能为什么与众不同
优化唤醒设置,实现高成像质量和"开箱即用
通过Basler的专利PGI优化功能,"在FPGA上"进行图像优化
自动色彩/对比度调节功能,只需点击一次鼠标即可获得最佳色彩和对比度
在强波动的光线条件下缩短反应时间
优化唤醒设置,让您第一次采集图像就能获得最佳成像质量
我们开发了唤醒设置功能,让您在医疗和生命科学应用中可以快速通过Basler MED ace相机采集到出色的图像。标准用户设置集合了多个图像优化功能,让您第一次采集图像就能获得出色成像质量,并可以直接使用。


Basler PGI:适用于彩色相机和黑白相机的内部成像优化
Basler专利的PGI功能组合可以为彩色相机和黑白相机提供图像优化。该算法结合了降噪、图像锐度优化、5x5去拜耳化以及彩色相机的去伪彩功能。所有功能都在相机自身的FPGA上运行,从而可以为客户的主机系统节省大量资源。


自动色彩/对比度调节功能,让您获得完美的色彩重现和清晰图像
优秀的色彩重现对于医疗应用来说至关重要。但是,要找到正确的色彩设置并非易事。而我们的自动色彩调节功能可以轻松办到,让您从一开始就能获得具有最佳色彩重现效果的图像。要让图像具有应用意义,清晰的对比度也是关键因素。借助我们的自动对比度调节功能,您可以立即拍出具有理想对比度设置的图像。自动直方图拉伸功能,可以让图像对比度最大化。为了满足个性化要求,用户可以手动调整色彩和对比度的设置


为不断变化的光线条件而设计的自动曝光功能
例如,如果镜头或焦距在应用中发生改变,则光线条件会发生变化,也会导致成像质量降低。自动曝光功能对不断变化的光线条件反应极快,并能即时调整相机。我们就是通过这种方式,确保用户可以采集到质量最佳的图像。
