相机在医学领域的运用
极具竞争力的精度和性能
现代技术,尤其是工业数字相机,极大地推动了医疗保健行业的发展,使医生能够采集详细的视觉信息,显著改善诊断程序、治疗和病人监测。
用于医疗领域的相机优势概览
在医疗领域运用相机具有四大优势。

文档记录
相较于通过连接到设备的光学元件查看图像,医生借助数字图像可以更轻松地检查感兴趣区域。此外,还可以选择为图像数据添加注释,以便随着时间的推移重新识别和跟踪可疑区域。所有这些图像和信息都可以存储在数字化病人记录中,并可供世界各地的医疗保健专业人员使用。

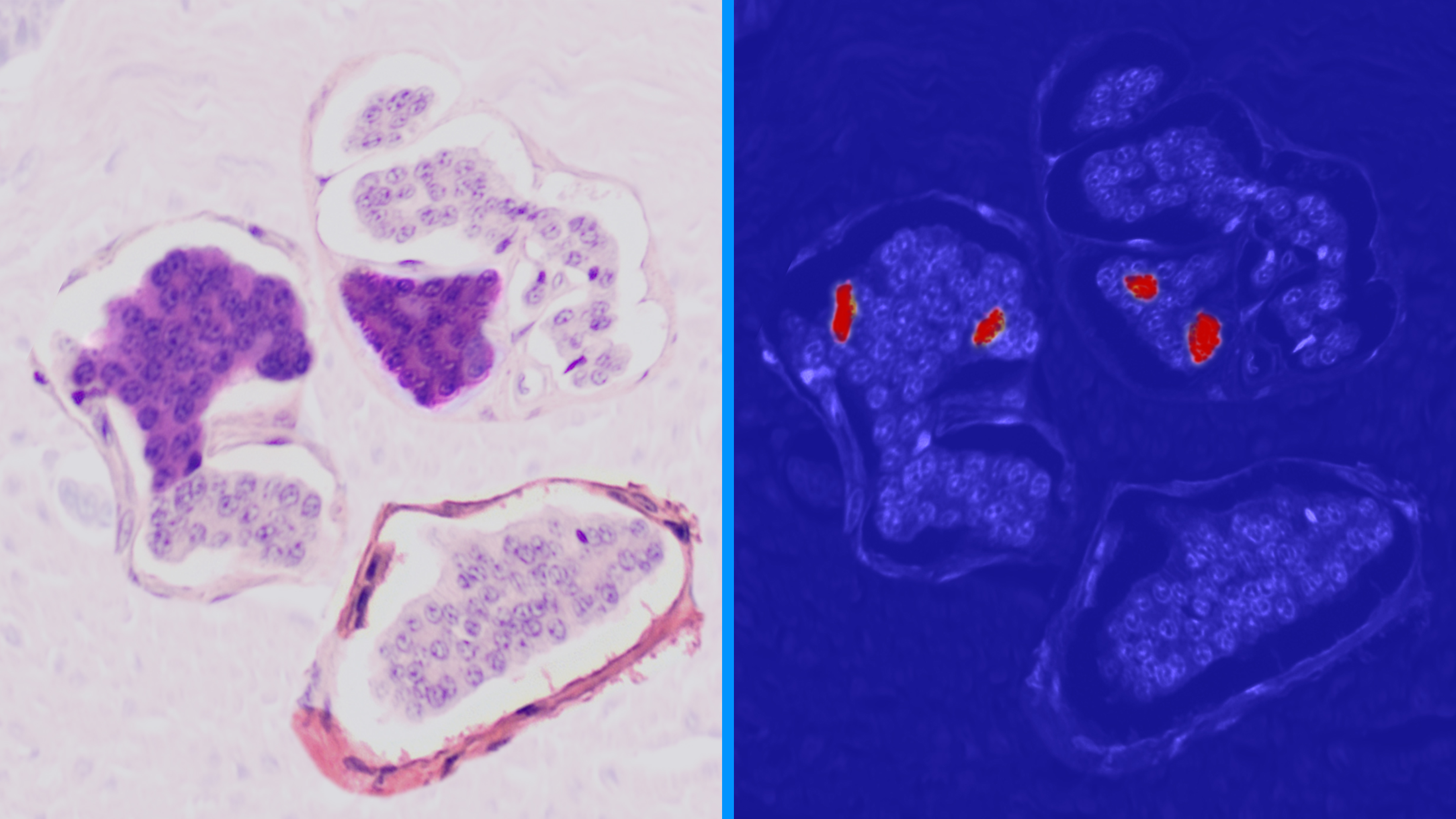
图像分析
在如今的肿瘤诊断中,在显微镜下去除和分析组织切片仍然是常见的做法。自动显微镜可用于扫描载玻片。然后,神经网络等现代图像分析算法可在图像中搜索可疑区域,供病理学家作进一步分析。这个过程在几分钟内即可完成,而传统的人工检查则需要几个小时,并且高度依赖于单个操作人员。

自动化
有两个趋势正在推动这一领域的发展。一方面,行业对多种诊断的需求正在增加(也有人口因素的影响)。与此同时,不断上升的劳动成本要求实现更高的自动化程度。例如,装有血液样本的试管不再需要由实验室工作人员手动存储,而是在条码读取分类系统的帮助下进行存档。

可视化
在医疗领域,相机在众多要求严格的成像程序中也发挥着作为内窥镜,毫米级大小的相机记录设备通过身体内部的路径。在荧光引导手术中,外科医生可以在手术过程中实时区分健康组织和癌症组织。荧光血管造影能够向眼科医生显示眼睛血管的状况,而高光谱相机则可以区分血液供应优秀和不良的组织。
准确诊断的性能要求
诊断过程通常直接依赖于相机图像。因此,专为医疗应用设计的相机必须满足高性能要求:
可靠耐用:工业相机必须经过精密制造,经久耐用且极其可靠,才能始终如一地提供具可比性的图像。相机必须根据ISO标准制造,以满足医疗设备制造商的要求。
高色彩保真度:诊断通常以颜色信息为判断基础,因此相机必须准确地将颜色传输到数字图像。显示器上可见的颜色必须与现实世界相对应。
交付周期的保证:由于诊断设备的认证过程非常耗时,因此相机必须能够保证长期可靠的交付周期。
合适的功能范围:除了原始数据之外,相机还必须提供颜色插值、色彩校准、锐化校正等高级功能,以满足各种要求。
用于医疗领域的相机应用概览
数字图像处理技术为疾病提供了大量进行研究、分析和诊断的可能性。

眼科
成像技术在眼科发挥着重要作用。医疗领域的相机,例如用于视网膜检查的现代OCT或眼底相机等,可简化和改进眼病的诊断和治疗,还可以促进移动式的治疗方法。精确的色彩重现、可再现性、灵敏度、卓越的成像质量、出色的运作速度和分辨率等这些都是具有决定性的因素。Basler可为您提供满足所有应用要求的高性能适配技术。

实验室设备与自动化
无论是过程自动化、质量控制或生物成像技术,最先进的工业相机已成为医疗诊断实验室设备不可或缺的一部分。它们可高速运作,提供高分辨率、高可靠性和出色的成像质量,实现可重现的分析和高效的样品通量。我们的相机完全结合了这些特性,可轻松集成到您的自动化实验室设备中。

显微镜
从医疗和生物研究到材料科学、药物检测和诊断,相机技术都是光学显微镜图像采集和处理的核心元件。我们的相机能够为您提供一流的实时成像质量、出色的色彩重现和宽动态范围,并对最精细的结构进行精确和可重现的分析,同时适用于传统的光学显微镜以及荧光显微镜。

牙科
牙科使用基于高性能相机的最新技术,此类相机具有高帧速、高分辨率和高灵敏度的特点。得益于精巧的设计,我们的相机提供了可以轻松集成到上述技术中的理想条件。

皮肤科
皮肤科医生在进行皮肤镜检查时会拍摄可疑皮肤变化的图像。为便于皮肤科医生进行准确评估,软件可对图像进行计算机辅助分析。评估所获图像的一个重要前提是标准化的图像采集。我们的相机可对不同的拍摄条件(如光线和角度)进行补偿,从而确保了这一点。这意味着可以对一段较长时间内生成的图像进行持续对比。此外,我们的相机还能确保色彩保真度,从而为患者提供可靠的诊断。

手术室
手术室中的相机可用于手术台上方的旋转臂以及微创手术内窥镜上的精巧设备中,方便从不同角度以现场直播的方式观察病人的手术情况,还可以录制用于培训和咨询目的。我们的相机具有高分辨率和行业领先的低故障率。
相机在医学领域的运用
专注于数据保护和安全性
医学影像和视频记录通常包含敏感的病人数据。为了不辜负病人的信任以及保护隐私,在医学领域使用相机时,严格落实法律所要求的隐私和安全措施至关重要。重点是采取授权访问限制、数据传输加密和密码保护等措施。相机还需要接受定期维护,以确保正常工作,不会造成任何安全风险。此外,必须提前告知病人其数据的使用和存储情况,并事先征得他们的同意。
医疗图像处理技术的未来
由于成本更低、尺寸更小,未来会有越来越多的医疗设备配备机器视觉技术。因此,这些先进的设备在各种医疗机构中也会变得更常见。工业相机结合了最先进的芯片技术、高分辨率和出色的成像质量,不失为医疗环境应用的理想之选。
适用于医疗图像处理的Basler产品
Basler不仅能提供特殊设计的Basler MED ace相机系列,还具备丰富的定制经验,能按您的需求开发个性化的机器视觉解方案,让您从中受益。
